Smile Gallery: Cosmetic Dentistry, Veneers and Smile Makeovers




Our lovely patient wanted to do something about the brown markings on her teeth that were darkening as she headed into her late forties. Her background colour was A2. What worried her was the darker brown markings that were A4. She did not want to incur the biologic cost of loss of enamel that comes with ceramic veneers. These stubborn brown types of markings are challenging to improve. Dr Gourlay recommended that she use our night whitening gel which is a 16% carbamide peroxide. This gel was used in custom made trays with a gingival seal overnight for 2 weeks. ...




This patient had a knock to her tooth when she was a teenager. It had been a different colour for a long time. It seemed to be getting darker as she got older and our patient asked about her options. Dr Gourlay suggested she start by trying whitening before deciding if veneers would be needed. She used custom made trays with gingival seal and night whitening for 2 weeks. She then used the whitening gel on the darker tooth for another week. She was very happy with the result and no further treatment was needed.




This lady had an important event coming up later in the year. She did the right thing and got in early to make an improvement in her smile. She was in her 40’s and felt her teeth had become more yellow. We are often asked, “Why have my teeth turned yellow?” As we age the nerve and pulp vessels can shrink as the dentine lays down more tooth structure. Sometimes this secondary dentine is quite dark. In addition, the enamel can have some signs of thinning. These factors and just some of the elements that contribute to the loss of ...




This young man was about to start Invisalign with his orthodontist. The orthodontist requested that Dr Gourlay correct the shape and volume of his front teeth before he started treatment. In this case, it meant that the patient had a fuller smile right from the start and this method made his Invisalign treatment shorter than it otherwise would have been.




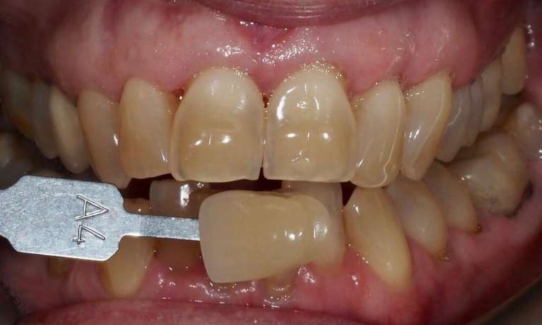
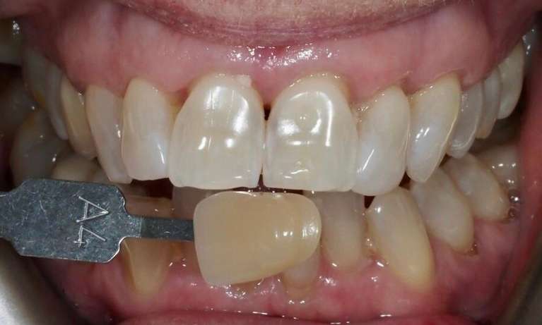
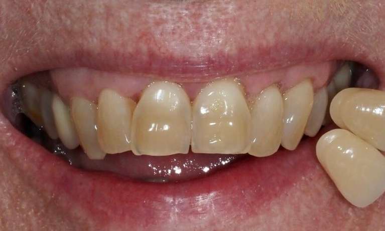
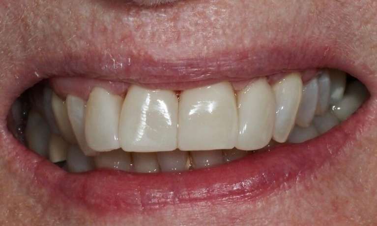
At Willow Dental Care, we love helping our patients achieve healthy, confident smiles. We recently reviewed the results of a patient who had completed her smile transformation six months previously. This case involves simple additive dentistry. No further enamel was lost in order to achieve this result.
Her concern was discolouration.
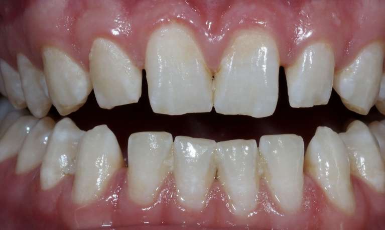
Our patient had worn teeth due to enamel loss from erosion and abrasion on the front surfaces of her incisors. Over time, her teeth had darkened internally, and the thinning enamel became more translucent, allowing the darker dentine underneath to show through.
Step 1: Professional Whitening to lift the colour
To address the ...


This patient presented with concerns about the damage his teeth had sustained from his bite and previous habits. His lower teeth had caused erosion and wear on the palatal surfaces and incisal edges of his upper front teeth. He was also concerned about the crowding of the lower front teeth. His primary goal was to create a more protected alignment and function of his teeth to support better oral health and longevity.
Due to a sensitive gag reflex, he first trialled nightly whitening trays for two weeks to assess whether he could tolerate aligner wear. This approach gave him the confidence ...